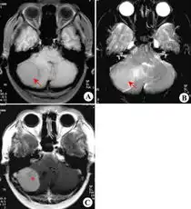
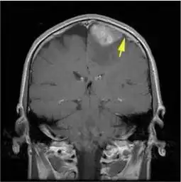
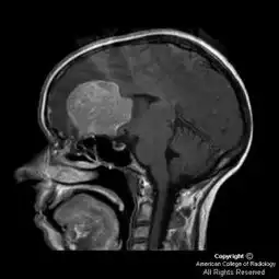
一看就有大病的头像脑瘤 描述: 一看就有大病的头像脑瘤 创立日期: 2025-05-22 00:07:12 图片数量: 0 pics 浏览量: 通过脑室内注射cart首次消灭致命脑瘤的研究团队,这次盯上了乳腺癌脑转移 最新科技自动掏耳神器,360无死角,让你爽翻天 右乙状窦区脑膜瘤纤维型mri病例图片影像诊断影像园 犬脑膜瘤的综述 6岁儿童一口气读不了白日依山尽不是贵人语迟是脑肿瘤 中华医学网 腹腔大病灶,快来围观有病理影像医学和核医学讨论版 嗅沟脑膜瘤olfactorymeningiomamrict病例图片影像诊断分析 美科学家研发读心程序可将大脑想法转换成语音 口苦可能是大病预警,一定要重视 农夫捡到一大堆子弹吓得够呛,清洗后发现透亮鉴定后大喜 类别: 2025头像大全